编者按
不同组织学类型的肿瘤在同一器官内同时出现,即所谓的“碰撞瘤”(Collision Tumor),是一种极为罕见的临床现象。其特征在于两种组织学上截然不同的肿瘤在同一器官并存,但成分之间没有混合。这类肿瘤在镜下边界清晰,需与含异源成分的混合肿瘤鉴别。其罕见性导致多在术后病理检查中偶然发现,常见于颅脑、肺、胃食管连接部、肝、直肠、膀胱和子宫。
本期《岂有此“例”》报告一例非壶腹型十二指肠癌(NADC)与进展期胃癌形成的碰撞瘤,此前未见相关病例报道。患者为82岁女性,因黑便和贫血就诊,经诊断为胃窦小弯侧进展期胃癌。肿瘤部分浸润幽门环,但在可观察范围内未发现十二指肠球部受累。增强CT显示胃窦至幽门环壁增厚,小弯侧肿胀及幽门下淋巴结肿大。患者接受远端胃癌根治术及D2淋巴结清扫。病理结果显示胃癌(乳头状腺癌与中分化管状腺癌)呈MUC5AC阳性,十二指肠癌(实性低分化腺癌为主)呈MUC5AC和MUC6阳性,两肿瘤在幽门环处交汇。淋巴结转移同时来自胃和十二指肠癌。对于合并十二指肠浸润的胃癌患者,需考虑十二指肠癌并存可能及淋巴结清扫范围。 病例再现 1.患者基本信息 女性,82岁,有高血压、高脂血症及幽门螺杆菌根除史,因头晕和贫血转诊。患者无发热,心率为70次/min,血压为118/83 mmHg,室内空气中的氧饱和度为100%。 2.辅助检查 实验室检查显示血红蛋白6.6 g/dL。
急诊上消化道内镜显示胃窦小弯侧中心有一巨大Ⅲ型肿瘤,近端浸润胃角,胃窦侧向上侵犯至幽门环(图1A、1B)。内镜检查未见十二指肠球部明显浸润。
活检提示近端低分化腺癌,幽门环上方中为分化管状腺癌(图1C、1D)。

图1. (A)内镜检查结果显示,胃窦小弯侧中心存在胃Ⅲ型肿瘤;(B)内镜检查结果显示,胃肿瘤侵犯至幽门环;(C)肿瘤近端组织病理学检查结果显示,低分化腺癌(图1A中的黑色箭头);(D)组织病理学检查结果显示,幽门环上方存在中分化腺癌(图1B中的白色箭头) 2.诊断与治疗 增强CT显示胃窦壁增厚及幽门下淋巴结肿大(图2),无远处转移,确诊为进展期胃癌(cT3N1M0,Ⅲ期)伴十二指肠浸润。

图2. 增强CT描显示胃窦壁增厚(红色圆圈)和幽门环附近淋巴结明显肿大(红色箭头) 患者接受开腹远端胃切除术、D2淋巴结清扫及Roux-en-Y重建。手术时间233分钟,失血48 ml,术后无并发症,第8天出院。 肉眼检查发现,Ⅲ型肿瘤位于胃前臂区,Ⅰ型肿瘤位于幽门环至十二指肠球部,两肿瘤在幽门环处交汇,与术前内镜结果不同(图3)。组织病理学检查显示Ⅲ型肿瘤以低分化腺癌为主,Ⅰ型肿瘤以中分化腺癌为主,边界清晰(图4)。 
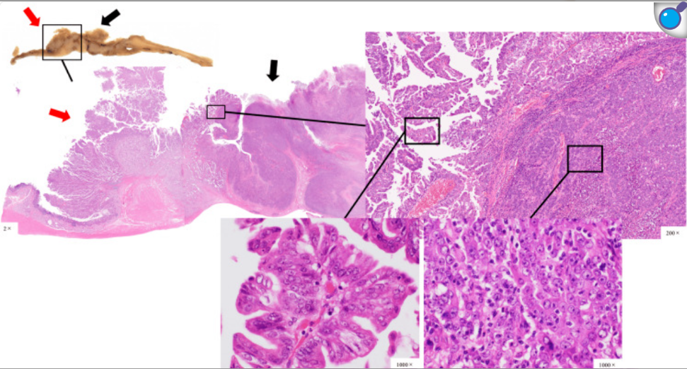
图3. 肉眼可见Ⅲ型肿瘤位于胃前壁区(黑色箭头),Ⅰ型肿瘤位于幽门环至十二指肠球部(红色箭头)。图像右侧为近端,左侧为远端。字母表中的字母分别对应各切面及其横切面。

图4. 组织病理学表现示Ⅲ型肿瘤(黑色箭头)主要由低分化腺癌组成,Ⅰ1型肿瘤(红色箭头)主要由中分化腺癌组成,两种肿瘤边界清晰 Ⅰ型肿瘤因位于幽门环十二指肠侧及Brunner腺区域被诊断为十二指肠癌。最终诊断为胃癌(50 mm×50 mm实性低分化腺癌为主)与十二指肠癌(31 mm×52 mm乳头状腺癌为主)的碰撞瘤。幽门下淋巴结转移中,1枚来自胃癌,1枚来自十二指肠癌。 免疫组化显示两癌均呈MUC5AC阳性,仅十二指肠癌呈MUC6阳性,CD10和MUC2阴性(图5)。因此,符合胃型十二指肠癌特征。

图5. (AD)图像右侧为胃癌近端,左侧为十二指肠癌远端;(A)免疫染色组织病理学结果显示胃癌和十二指肠癌中均有MUC5AC染色;(B) 仅十二指肠癌中存在MUC6染色;(C)未见CD10或(D)MUC2染色
病例分析
NADC按表型分为肠型和胃型。肠型NADC多见于Vater壶腹远端,胃型多见于近端,常伴胃小凹增生和异位胃底腺。尽管肠型更常见,但胃型腺癌比例更高,多表现为进展期并伴淋巴结转移,预后较差。本例十二指肠癌呈MUC5AC(胃黏膜表面上皮)和MUC6(胃腺黏膜及Brunner腺)阳性,提示可能起源于异位胃底腺的幽门腺型胃癌,而非慢性炎症相关肿瘤。 手术是NADC唯一治愈手段,无标准化疗方案。进展期NADC需行胰十二指肠切除术联合区域淋巴结清扫。UICC TNM分类推荐对十二指肠第一部肿瘤进行充分区域淋巴结清扫。幽门上(5组)、幽门下(6组)、肝总动脉(8组)、肝十二指肠韧带(12组)、胰十二指肠后(13组)、肠系膜上动脉(14组)及胰十二指肠前(17组)淋巴结转移率高达9.1%~50.0%。伴淋巴结转移的十二指肠癌5年生存率为19.2%~51.7%。本例患者因十二指肠癌位于幽门环附近且与胃癌重叠,术前诊断困难。若能确诊,可能需行胰十二指肠切除术联合胃癌根治术,但需权衡老年患者的根治性与创伤性。 对于疑似幽门浸润的胃癌患者,应分别在胃侧和十二指肠侧进行多部位活检。发现不同组织学类型可提示碰撞瘤可能,从而调整手术方案。 NADC相关碰撞瘤极为罕见,仅4例报道:十二指肠神经内分泌癌与胃腺癌、十二指肠类癌与胰腺癌、十二指肠腺癌与神经内分泌癌、十二指肠神经内分泌瘤与胃腺癌。本例是首例胃型十二指肠腺癌与胃腺癌的碰撞瘤。所有病例均通过术后病理确诊,手术方案根据肿瘤分期制定,预后良好。 总之,本文首次报道了胃型十二指肠腺癌与胃腺癌形成的碰撞瘤,并探讨了其术前诊断意义。由于缺乏有效化疗,准确术前诊断对制定手术方案至关重要。此外,对于合并十二指肠浸润的胃癌患者,需警惕十二指肠癌并存可能并考虑淋巴结清扫范围。 参考文献:[1] Haruna T, Ohashi R, Ueda J, Yoshimori D, Shioda H, Yoshida H. A Difficult-to-Diagnose Collision Tumor in a Patient With Gastric-Type Duodenal Cancer and Gastric Cancer: A Report of a Rare Case. Cureus. 2025 Sep 14;17(9):e92278.?