编者按胃肠道间质瘤(GIST)是一种起源于或向胃肠道起搏细胞——卡哈尔间质细胞(ICC)分化的罕见间叶源性肿瘤。虽然GIST最常见于胃及小肠,但发生于胃肠道外部位的病例亦偶有报道,其中包括胰腺GIST。鉴于胰腺GIST的罕见性与诊断复杂性,本期《岂有此“例”》栏目报道一例特殊病例:尽管活检病理证实为GIST,但多种横断面影像学检查(如CT、MRI)及内镜检查均未能明确肿瘤原发部位,最终经腹腔镜探查手术,确诊为起源于胰腺的巨大GIST。此类经多模态影像仍难以定位、最终依靠手术探查明确诊断的胰腺GIST,此前未见文献报道。本文旨在为临床诊治胰腺来源的罕见GIST提供重要的诊断参考与实践启示,强调在影像学检查结果不明确时,应积极结合超声内镜引导穿刺及腹腔镜探查等综合手段以明确诊断,避免延误治疗。
病例再现1.患者信息
基本信息:患者,女性,77岁,既往有左侧颈动脉狭窄病史,无重大手术史,未规律服用药物。因突发非特异性腹痛就诊,否认恶心、呕吐、体重减轻等症状,无恶性肿瘤家族史。患者因顾虑副作用未接种任何疫苗。生命体征平稳。
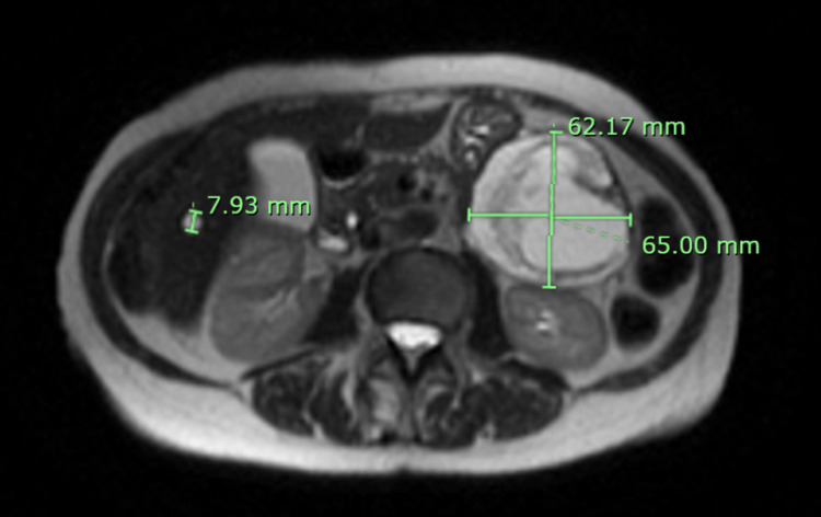
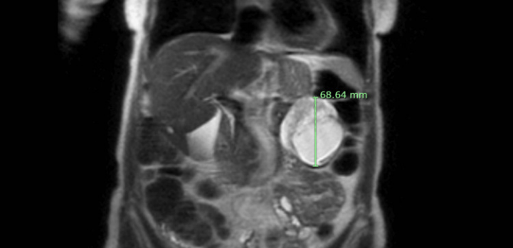
入院检查结果:体格检查无腹部压痛及其他阳性体征。实验室检查除碱性磷酸酶轻度升高(145 IU/L)外均正常。腹部及盆腔CT提示左腹部可见一约62×62×71 mm起源不明占位。腹痛自行缓解后未再发。腹部MRI进一步提示胰尾部大小约65.00×62.17×68.64 mm混合囊实性占位,呈周边强化并伴扩散受限(图1和图2)。该肿块可能起源于胰尾,考虑恶性可能,未见转移征象。

图1. MRI轴位SS-FSE序列图像。
腹部无对比剂MRI显示胰尾部复杂混合囊实性占位,伴周边强化及扩散受限,可能起源于胰尾,考虑恶性可能,未见转移征象

图2. MRI冠状位SS-FSE序列图像。
腹部无对比剂MRI显示复杂混合囊实性占位的另一种视图,伴周边强化及扩散受限,可能起源于胰尾的前部,但显然也与胃后壁分界不清
2.疾病诊疗过程EUS检查所见与鉴别诊断:患者接受超声内镜(EUS)检查,于胰尾部探及一大小约60×60 mm的异质性占位,其来源难以明确(图3)。病变中心呈无回声,符合囊性液体表现,其周围散在少量高回声影,考虑为胆泥或碎屑沉积。病变边缘可见低回声区域,提示存在实性成分。对该占位的囊性部分行穿刺抽液,获约20 ml稀薄暗红色液体;同时对实性部分行细针穿刺活检。EUS下未见门静脉周围、胰腺周围及腹腔干区域存在明显恶性淋巴结。胰尾部可见高回声条索影,胰管形态及内径正常。胆囊内可见多发点状高回声,符合结石与胆泥声像。胆总管内径正常,未见明确充盈缺损。胰头形态结构未见异常。因该占位来源难以确定,鉴别诊断需重点考虑胰腺来源的恶性肿瘤,如胰腺黏液性肿瘤,以及可能来源于胃后壁或胰腺的GIST。

图3. 超声内镜图像。
(A)混合性囊实性病变;(B)弹性成像示实性部分硬度增高,符合肿块特征。
病理学与分子检测结果及治疗评估:病理学检查确诊为梭形细胞型GIST(图4)。有丝分裂率为零,组织学分级为1级。进一步采用涵盖15个基因位点的二代测序panel进行分子病理学分析,检测到KIT V560D突变。患者经多学科讨论后被转诊至外科肿瘤学与内科肿瘤学专业组进行评估。基于上述病理与分子结果,临床诊断为GIST,并依据相关诊疗指南讨论了伊马替尼作为一线靶向治疗方案的适应性与潜在获益。因患者个人意愿强烈拒绝长期用药,经充分沟通后,最终决定行诊断性腹腔镜检查以明确肿瘤解剖来源与局部侵犯范围,但患者同时明确表示不同意在本次探查中同期实施肿瘤切除术。
诊断性腹腔镜检查结果:诊断性腹腔镜下见大网膜组织萎缩,未发现腹膜播散或转移性病灶。胃壁及各段探查未见明确占位性病变。术中探查见一巨大肿块与胃后壁无直接浸润,明确起源于胰尾,据此确诊为胰腺来源的GIST。

图4. 病理学结果。
病理切片显示:(A)胰腺GIST,中倍镜;(B)胰腺GIST,高倍镜;(C)C-KIT阳性染色;(D)DOG-1阳性染色
治疗方案选择与随访监测:治疗团队建议患者行手术切除并联合伊马替尼靶向治疗,但患者出于个人意愿与顾虑,拒绝接受手术及药物治疗,最终选择在肿瘤专科门诊接受定期主动监测。综合其病理分级较低、肿瘤进展风险相对缓和,且患者对治疗存在较强抵触情绪,该监测策略在当前阶段被视为合理的临床管理选择。在迄今约12个月的随访期内,患者血液学指标持续处于正常范围。初期曾建议每6个月行影像学复查,但因患者对MRI检查存在耐受困难,曾对复查持犹豫态度。经肿瘤科医生多次沟通,其仍坚持拒绝伊马替尼治疗。截至目前,患者确诊已逾一年,未诉任何肿瘤相关症状。在进一步共同决策后,计划继续执行定期监测方案,并拟近期完成腹部MRI复查以评估病情。
3.结论本病例提示,在非典型胰腺占位性病变(尤其是具有混合性实性和囊性成分的肿瘤)的鉴别诊断中,应将胰腺GIST纳入考量。同时,该病例也凸显了EUS在引导穿刺活检、以及腹腔镜在探查复杂或隐匿性腹部肿块、解决诊断不确定性方面的重要作用。需要开展进一步研究,以更好地了解低风险、无症状胰腺GIST的自然病程和最佳治疗方案。
4.讨论与启示胰腺GIST好发于胰头,常以直径>5 cm的肿块就诊。本例虽位于较少见的胰尾,肿瘤亦>6 cm,但核分裂象为0,组织学分级低,与多数报道不同。由于胰腺GIST罕见且影像学特征与更常见的胰腺肿瘤重叠,因此术前准确诊断仍然具有挑战性。胰腺GIST影像学特征(边界清晰、富血供、囊变坏死)与胰腺神经内分泌肿瘤、实性假乳头状瘤、黏液性囊性肿瘤、导管内乳头状黏液性肿瘤及胰腺癌重叠,造成术前诊断困难。EUS联合细针穿刺虽可明确病理诊断,但难以精确定位邻近胃与胰腺的肿瘤起源。本例在影像学及EUS均未能明确来源的情况下,经诊断性腹腔镜确诊胰腺来源。这种腹腔镜检查方法在文献中很少被描述,但事实证明,它在确认胰腺起源方面至关重要,并突出了非侵入性诊断在某些病例中的局限性。
尽管文献中多数病例可通过CT、MRI或EUS定位,但本例提示即使联合多模态影像与活检,仍可能无法确定肿瘤起源。这种不确定性直接影响手术方案选择(胃与胰腺来源手术路径不同)。据我们所知,此为本领域首例报道:在非侵入检查无法定位后,仅经诊断性腹腔镜即明确胰腺GIST来源,体现了该类病例独特的诊断挑战。
胰腺GIST的无病生存期(DFS)通常较胃GIST更短,这提示对多数患者采取单纯观察随访的策略可能并不适宜。因此,在制定胰腺GIST的治疗决策时,应遵循个体化管理原则,需综合评估肿瘤核分裂指数、组织学分级、分子病理特征、解剖位置、患者意愿,并结合多学科团队讨论意见。对这类病例开展系统性长期随访,有助于积累临床证据,为未来完善风险分层体系及制定治疗指南提供依据。
参考文献:Ramamurthy PS, et al. Cureus. 2026 Feb 9;18(2):e103297.