编者按肝细胞癌(HCC)是全球癌症相关死亡的主要原因之一,其主要危险因素是慢性乙型与丙型肝炎病毒感染。目前,临床仍缺乏有效监测病毒感染者癌变的有效手段。甲胎蛋白(AFP)是当前应用广泛的肝癌血清标志物,但30~40%的HCC和60~70%的早期HCC患者AFP水平呈阴性。醛酮还原酶1B10(AKR1B10)已被报道为HCC的血清标志物。在正常组织中,AKR1B10主要在结肠和小肠中表达,而在HCC中的表达水平上调。一项大规模多中心研究表明,血清AKR1B10可作为HCC和早期HCC的诊断标志物,与AFP联合检测可显著提高HCC的检出率。
本期《岂有此“例”》栏目将报道两例乙肝相关HCC病例,其特点是AFP持续阴性,但血清AKR1B10水平显著升高。这提示,在AFP阴性的HCC患者中,AKR1B10检测可作为一项有效的补充诊断方法。未来有必要开展前瞻性大规模研究,以进一步明确AKR1B10在AFP阴性HCC中的临床价值。
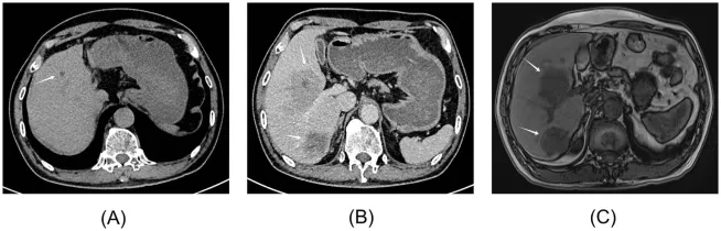
病例再现1.病例1诊疗经过基本信息:患者,男性,68岁,慢性乙型肝炎病毒(HBV)感染史40年,自2021年起每年接受常规体检。在2024年9月进行的第四次年度体检中,被诊断为晚期HCC(表1)。在既往历次体检中,患者均无特殊不适主诉,既往多次体检AFP、癌胚抗原(CEA)均为阴性,上次体检的肝功能检查结果也正常。2021年10月腹部超声提示肝内多个囊肿,最大者约1.4×1.1 cm。2022年8月二次体检,腹部超声表现与前相仿。2023年9月第三次体检,除囊肿外,超声新见一大小约2.3×2.1 cm的混合回声结节,边界不清,内部回声不均。后续腹部CT证实肝右叶存在一个大小约2.3×2.1×1.4 cm的病灶,当时诊断为“不典型肝血管瘤”(图1A)。患者无明显症状,食欲正常。
表1. 病例1的临床就诊、实验室与影像检查结果汇总


图1. 病例1的影像学表现
(A)2023年9月腹部平扫及增强CT显示,肝右叶可见一低密度灶,大小约2.3×2.1×1.4 cm,当时拟诊为“不典型肝血管瘤”。(B)2024年9月上腹部增强CT提示,肝S5、S6段各见一边界相对清晰的类圆形低密度影,较大者约8.8×8.2 cm。增强后动脉期病灶边缘呈明显强化,静脉期及延迟期持续强化。(C)2024年9月上腹部MRI(包括平扫、增强、弥散加权成像及磁共振胰胆管成像)显示,肝S5、S6段占位性病变大小分别约为10.0×8.0 cm及4.4×3.8 cm,肝门区可见淋巴结肿大。
临床确诊与诊断依据:2024年9月,患者因上腹部钝痛来诊。查体见肝区叩击痛。实验室检查显示,血清AKR1B10显著升高至6239.29 pg/mL(参考范围:0~369.30 pg/mL),而AFP与CEA仍为阴性。天冬氨酸转氨酶升高(75.90 U/L),AST/ALT比值达3.47,尿胆原为1.0 μmol/L。腹部超声提示肝内两处高回声肿块,大小分别为9.0×8.0 cm与4.2×3.7 cm,边界清晰,内部回声不均,可见血流信号。上腹部增强CT显示肝S5、S6段见类圆形低密度影,边界较清,较大者约8.8×8.2 cm(图1B),增强后呈动脉期边缘强化、静脉期及延迟期持续强化的“快进慢出”表现。MRI进一步明确肝S5、S6段占位,大小分别约为10.0×8.0 cm与4.4×3.8 cm(图1C),并提示肝门区淋巴结肿大。
该患者被临床诊断为原发性HCC(累及门静脉右支)。根据欧洲肝脏研究学会(EASL)最新临床实践指南与LI-RADS(2018版)分类标准,病灶符合非环状动脉期高强化、无周边廓清、伴有包膜强化的影像学特征,归类为LR-5(明确的HCC),故未行侵入性病理活检。图2汇总了本病例的关键就诊时间线与诊断过程。

图2. 病例1的临床就诊时间线
2.病例2诊疗经过基本信息:患者,男性,49岁,慢性乙型肝炎病毒感染史10余年。2025年2月因恶心、反酸、干呕来院就诊,无腹痛、腹泻、呕血、黑便等其他消化道症状。入院查体未见异常,腹部软,无肝掌、蜘蛛痣等慢性肝病体征。实验室检查提示,血清AKR1B10水平升高至1500.00 pg/mL。AFP、CEA和肿瘤特异性生长因子均处于正常范围内,分别为5.67 ng/mL(参考范围:0~7.0 ng/mL)、1.19 ng/mL(参考范围:0~5 ng/mL)和47.3 U/mL(参考范围:0~64 U/mL)。其他检测结果显示ALT水平为55.00 U/L(参考范围:9~50 U/L),AST水平为81.50 U/L(参考范围:15~40 U/L)。HBeAg阴性,HBV-DNA载量为5.325×103 IU/mL(参考范围:<10 IU/mL)。腹部CT提示肝内巨大占位,约18.1×13.1 cm(图3A),MRI进一步证实肝内占位,约11.8×13.5 cm(图3B)。
依据EASL最新临床实践指南,影像学表现为动脉期显著强化伴快速廓清,符合LI-RADS 5类(明确HCC)。参照《原发性肝癌诊疗指南(2024年版)》,该患者临床分期为CNLC IIIa期。与中国广泛应用的巴塞罗那临床肝癌分期系统相比,CNLC分期提供了更精细的疾病分层,并广泛用于指导国内肝癌多学科综合治疗。

图3. 病例2的影像学表现
(A)初诊时腹部增强CT显示肝内巨大占位,最大截面约18.1×13.1 cm。(B)初诊时肝脏MRI(平扫及肝细胞特异性增强)提示肝内病变,最大截面约11.8×13.5 cm。(C)首次经导管动脉化疗栓塞术(TACE)后,肿瘤最大截面缩小至10.8×9.6 cm。(D)第三次TACE后,肿瘤进一步缩小至8.3×8.1 cm。
2025年2月确诊HCC后,患者立即接受TACE作为主要治疗,手术过程顺利,无急性并发症。术后规律服药,无特殊不适。2025年3月随访CT提示肿瘤缩小至10.8×9.6 cm,病灶仍呈不均匀动脉期强化(图3C);血清AKR1B10水平因肿瘤坏死释放反应性升高至3799.12 pg/mL,AFP持续阴性(3.25 ng/mL),遂行第二次TACE。
2025年4月复查显示肿瘤进一步缩小至9.3×8.4 cm,血清AKR1B10降至776.22 pg/mL,提示治疗有效,续行第三次TACE。2025年7月随访见主瘤缩小至8.3×8.1 cm,碘油沉积增加(图3D),AFP仍阴性(2.38 ng/mL),接受第四次TACE。
2025年9月复查显示肿瘤大小为7.8×7.6 cm,血清AKR1B10降至541.00 pg/mL,AFP持续阴性(2.95 ng/mL)。但患者出现肝病面容、皮肤巩膜黄染、肝掌等肝功能失代偿征象,本次未再行TACE治疗。图4动态展示了肿瘤影像与血清AKR1B10水平的时序变化。在整个治疗过程中,血清AFP水平始终维持阴性。

图4. 病例2临床事件时序及肿瘤大小、血清AKR1B10与AFP水平动态变化
图中蓝线表示血清AKR1B10水平(左侧纵轴),红线表示AFP水平(右侧纵轴),并标注了各时间点肿瘤大小及TACE治疗情况。
3.结论尽管血清AFP的敏感性和特异性存在局限性,但其长期以来一直被用作HCC的常规血清标志物,至今仍在临床实践中占有重要地位。然而,本文两例患者所呈现的诊断困境,也提示了临床解读AFP结果时需保持审慎态度。这两例患者中AKR1B10的检测结果,为AKR1B10或可作为AFP阴性HCC的补充诊断标志物提供了初步证据,值得进一步深入研究。本报告也提示,在HCC的临床管理中,联合检测多种血清标志物(如AKR1B10、AFP与异常凝血酶原等)具有其合理性与潜在价值。
4.讨论与启示血清AKR1B10是近年来备受关注的HCC新型血清标志物。临床研究显示,相较于AFP,AKR1B10在HCC尤其是早期HCC的检测中表现出更高的灵敏度,并在肿瘤负荷较低、肝功能尚可的早期HCC患者中显示出预后评估价值。病例1的诊疗过程揭示了一个值得警惕的临床困境:其2.3 cm的肝脏结节曾被误判为不典型血管瘤,这与EASL和美国肝病研究协会(AASLD)相关指南的建议存在偏差——指南通常建议对HBV感染者的此类结节进行密切的动态影像学随访或穿刺活检,而不应仅依据血清学结果决策。然而,持续阴性的AFP水平可能在无意中强化了这一影像学误判,降低了行穿刺活检以明确病理的临床驱动力。目前虽缺乏直接的血清学证据证实AKR1B10是否在HCC早期即已升高,但考虑到其在检测早期HCC方面已表现出的良好敏感性,有理由推测其可能在早期监测中发挥重要作用。
在病例2中,血清AKR1B10水平在TACE治疗后呈现动态波动,凸显了其作为HCC疗效监测敏感标志物的潜力。首次介入治疗后,随着原发肿瘤体积显著缩小,血清AKR1B10水平出现一过性升高,这可能源于治疗导致的肿瘤细胞坏死与内容物释放,提示治疗有效;后续随着治疗继续,其水平逐步下降并与肿瘤体积缩小趋势一致,进一步支持了其作为治疗反应标志物的价值。这些发现凸显了开展大规模前瞻性临床研究以明确其临床应用地位的必要性。
鉴于HCC具有高度生物学异质性,临床中AFP与AKR1B10的检测结果可能出现不一致。在此类情形下,应始终遵循血清标志物仅作为辅助诊断工具的基本原则,将增强CT或MRI等影像学检查作为确诊的必要依据。同时,应高度重视血清标志物的动态变化趋势:若其水平持续或进行性升高,应及时升级影像学检查,以早期发现肿瘤进展。
参考文献:Gao Y, et al. Front Med (Lausanne). 2026 Mar 13;13:1756950.