编者按胃肠道间质瘤(GIST)是胃肠道最常见的间叶源性肿瘤,肝脏和腹膜是其最常见的转移部位。研究表明,GIST转移通常发生在诊断后早期,尤其当肿瘤具有高增殖活性或不良病理特征时。而超晚期复发(定义为术后10年以上发生的转移)则极为罕见,相关临床数据也十分有限。
本期《岂有此"例"》栏目将报道一例罕见的空肠GIST病例。该患者在原发肿瘤手术切除15年后发生双灶性肝转移。值得注意的是,患者术后仅接受了一年的伊马替尼辅助治疗,随后保持了长达14年的无病状态,肝脏转移灶是在一次常规体检中被发现。本病例的特殊性不仅在于其超晚期复发和双灶性肝转移的特点,更重要的是,该病例为GIST在辅助TKI治疗不足情况下的长期自然病程提供了宝贵的临床数据。
病例再现
1.患者信息基本信息:患者,男性,64岁。主因“发现肝脏占位性病变1天”入院。患者于15年前曾行小肠间质瘤切除术,近期在常规体检中超声提示肝脏占位性病变,为求进一步诊治入院。入院时患者无任何临床症状,无咳嗽、咳痰、腹痛、腹胀,无头晕、头痛、心悸、胸闷、气短,无恶心、呕吐、呕血、黑便,无尿频、尿急、排尿困难,无寒战、发热等不适。患者精神、食欲、睡眠可,大小便正常,近期体重无明显变化。
既往史和用药史:冠心病病史2年,每日口服阿司匹林1片。高血压病史8年,长期服用氨氯地平苯磺酸片联合瑞舒伐他汀钙片,血压控制良好。否认糖尿病、脑血管疾病、病毒性肝炎、肺结核、伤寒、疟疾、精神疾病及其他合并症病史,无外伤史。2010年行空肠间质瘤切除术,术后每日口服伊马替尼400 mg辅助治疗1年后停药。否认输血史、药物及食物过敏史。预防接种史不详。
疾病病程与诊治时间线回顾:2010年,患者行腹部增强CT检查后确诊为“小肠间质瘤”。随后,患者在全身麻醉下接受“肠切除吻合术”。术中发现距空肠Treitz韧带30 cm处有一大小为10×8×6 cm的肿块,该肿块与肠管及肠系膜紧密粘连。术后未出现其他明显并发症,患者恢复顺利,顺利出院。切除组织病理检查提示为“GIST”(具体参见石蜡切片报告),肠管两切缘均未见肿瘤累及。
2025年,患者因常规体检发现肝脏占位性病变而再次入院。
2025年入院体检结果:入院时,患者生命体征如下:脉搏83次/分,呼吸20次/分,血压136/75 mmHg。腹部查体见一条长约10 cm的弧形陈旧手术瘢痕,腹软平,无压痛、反跳痛,未触及肝脾肿大,移动性浊音阴性,肝区及双肾区无叩击痛。
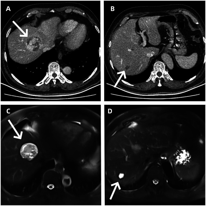
实验室和影像检查结果:入院后完善相关影像学和实验室检查。门静脉CT静脉造影(CTV)联合增强全腹CT显示肝脏S4段(45 mm)和S7段(15 mm)存在轻度低密度肿块,增强后呈现典型的转移性病变强化模式(图1A、B);全腹磁共振成像(MRI)进一步证实肝脏S4段(43 mm)和S7段(17 mm)存在软组织肿块,符合转移性病变的特征(图1C、D)。

图1. (A)增强CT显示肝脏左内侧叶肿瘤。(B)增强CT显示肝脏右后叶下段肿瘤。(C)MRI显示肝脏左内侧叶肿瘤。(D)MRI显示肝脏右后叶下段肿瘤。
诊断评估:术前诊断:肝脏恶性肿瘤(疑似GIST复发)、Ⅱ级高血压、胃息肉、结肠息肉、慢性胃炎、胆囊息肉、空肠间质瘤切除术后、良性前列腺增生、肝囊肿和肺部阴影。根据患者的临床病史,最终确诊为GIST超晚期肝转移。因此,建议患者接受手术治疗。
2.治疗经过在获得患者及其家属的详细知情同意后,于2025年5月30日在全麻下行肝S4、S7段切除术。术中探查见肝S4段存在一直径约5.0 cm的实性肿块,肝S7段表面未触及明显占位。随即行术中超声(IOUS)扫查,于肝S7段深部探及一大小约1.9×1.5×1.4 cm的病灶。在实时超声引导下,以导丝精确定位后完整切除该病灶(见图2B)。
术后病理检查证实以下结果:肝段肿块(S4):结合病史及形态学,符合GIST肝转移。肝段肿块(S7):结合病史及形态学,符合GIST肝转移。免疫组化染色结果如下:PCK(-),波形蛋白(+),Ki-67(15%+),CD117(+),DOG-1(+),CD34(局灶性+),CD31(血管性+),P53(+),F-Ⅷ(血管性+),Bcl-2(+),CD99(局灶性+),HMB-45(-),MelanA(-),S-100(-),结蛋白(局灶性+),SMA(-)。

图2. (A)切除的肝脏肿瘤。(B)GIST肝转移的病理切片。
术后对患者进行了血常规及相关生化指标检查,结果显示轻度高血糖和血红蛋白水平降低,肝肾功能未见明显异常。同时,患者接受了二代测序基因检测。检测结果发现以下突变:1.具有强临床意义的突变(Ⅰ类):KIT基因第9外显子p.A502_Y503重复突变,该突变为激活突变;2.具有潜在临床意义的突变(Ⅱ类):RB1基因杂合突变。术后早期,患者接受了胸腹部CT检查,结果显示胸腔积液和肺不张。术后未发生其他并发症,患者于2025年6月10日顺利出院。出院后,患者开始口服伊马替尼治疗,每日剂量为400 mg,建议长期服用。
后续随访结果:患者接受定期随访至2025年12月。在此期间进行了多次影像学评估:2025年6月17日上腹部平扫CT显示肝切除术后术区斑片状低密度影,腹腔和盆腔积液以及腹腔内游离气体量较前减少,双侧胸腔积液和肺部浸润有所改善;2025年7月8日超声检查显示残余肝实质回声增粗增强,伴右侧胸腔积液;2025年10月16日全腹部增强CT扫描显示,手术部位包裹性积液和气腹较前略有增多,而腹腔内和盆腔积液已完全消退,未发现明确肿瘤复发征象;2025年12月4日随访超声检查显示残余肝实质仍呈粗糙回声表现,右后叶见22×21 mm高回声区,符合术后改变。末次随访时,患者一般情况稳定,无腹痛、腹胀等症状,肝肾功能及肿瘤标志物水平均在正常范围内,临床及影像学检查均未提示肿瘤复发或转移。
3.病例总结与分析本病例在超晚期转移的临床表现方面具有独特性。患者在接受原发性空肠胃肠间质瘤切除术后,仅完成1年伊马替尼辅助治疗,14年后发生肝脏转移。这一漫长的间隔远远超过了GIST的典型复发窗口期,大多数GIST复发发生在术后五年内。
目前临床指南建议,中高危GIST患者术后辅助伊马替尼标准疗程为3年。本例患者虽仅接受1年辅助治疗,但仍获得长达14年的无病生存期,这可能反映了部分GIST具有特殊的生物学惰性特征。需要强调的是,这并不否定当前指南推荐的标准辅助治疗方案。
该患者就诊时无症状,肝脏病灶仅在常规体检中发现,这进一步强调了对GIST患者进行长期随访期间定期影像学检查的重要性。目前的临床指南建议,高危GIST患者术后前3年每3~6个月进行一次影像学评估,之后每年进行一次影像学检查。
参考文献:Hou Y, et al. Front. Surg. 13:1788993.