发表时间:2026-03-04 08:59:59
编者按
印戒细胞癌(SRCC)是一种特殊类型的癌症,其特点是肿瘤细胞黏附力差,胞质内充满了大量黏液,使得细胞核被挤向一侧,形成类似戒指的外观。SRCC的特征是浸润性生长、易发生腹膜播散,且在进展期预后较差。近日,一例94岁、组织学确诊为胃部印戒细胞癌的女性患者因拒绝接受积极抗肿瘤治疗,仅通过支持性治疗,诊断后一年多却呈现疾病稳定、生活质量维持的罕见结局。此案例引发其作者对治疗强度、患者意愿,尤其是高龄或功能状态欠佳患者管理原则的反思。本文综合报道该病例,并结合当前文献进行解读分析,希望为临床实践提供参考。
患者女性,94岁,具有长达20年的上腹部疼痛、“饥饿痛”、胃灼热以及间歇性不适史,这些症状可通过泮托拉唑得到部分缓解。其常规用药包括:早晨服用半片卡维地洛、5 mg氨氯地平、坎地沙坦,以及每日75 mg肠溶阿司匹林。家族史显示存在心血管疾病和父系血液系统恶性肿瘤(根据患者陈述)。
首次检查(2024年11月29日)
体格检查显示:体重指数(BMI)为26 kg/m²,心率103次/分,血压155/90 mmHg;腹部柔软,可触及轻度上腹压痛。
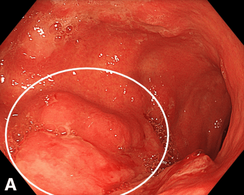
2024年11月29日行上消化道内镜检查,发现贲门闭合不全及远端卡他性食管炎。胃黏膜呈中度水肿及充血。在胃体中下三分之一区域可见一处浸润性溃疡性病变,表面结节样、边缘模糊、可触出血,并进行多次活检(图1)。

图1. 浸润性溃疡性胃部病变,伴黏膜水肿和充血(内镜,2024年11月)
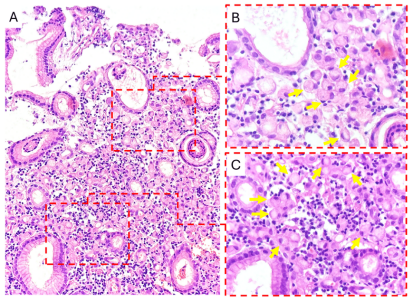
组织病理检查显示:可见弥漫性的肿瘤细胞浸润,细胞间黏附性差,胞质富含黏蛋白,细胞核偏心移位,符合印戒细胞癌的特征(图2)。

图2. 胃印戒细胞癌的组织病理特征
基线实验室检查,包括血红蛋白、铁指标、炎症标志物和肿瘤标志物(表1)。初诊时实验室检查结果提示轻度小细胞性贫血和红细胞沉降率升高。肿瘤标志物及N末端B型利钠肽前体(NT-proBNP)水平均在符合其年龄和合并症状况的可接受范围内。基线时未见提示肿瘤相关全身炎症活动的生化证据。
表1. 基线实验室检查及参考范围

经胸超声心动图显示左心室射血分数为66%,呈向心性重构,可见轻度三尖瓣及肺动脉瓣反流,未见充血性心力衰竭的迹象。这些检查结果提示患者心功能保留良好,有助于评估其整体功能储备,并为老年肿瘤学相关决策提供参考。
2.治疗方案
在对诊断、预后及治疗方案进行充分讨论后,患者自主拒绝手术和化疗干预,选择支持性治疗。治疗方案包括:泮托拉唑40 mg/天(后减至20 mg/天)、硫糖铝1 g每日三次、持续八周,瑞巴派特100 mg每日三次、持续八周,以及单次静脉注射500 mg羧基麦芽糖铁。心脏代谢优化方案包括:比索洛尔2.5 mg、沙库巴曲缬沙坦50 mg每日两次、达格列净10 mg和瑞舒伐他汀5 mg。饮食建议为软质、少量多餐。
随访(2025年7月9日)
体格检查显示:BMI 24 kg/m²,心率67 次/分,血压120/60 mmHg;腹部柔软,可触及轻度上腹压痛。体重较前减轻6 kg,可能与饮食干预有关。功能状态评估提示其独立生活能力保持良好。握力仪测得右手握力27 kg、左手23 kg。“起立-行走”计时测试(Timed Up and Go)为11秒,提示步速保持良好,未出现与年龄相关的严重活动能力受限。
复查食管胃十二指肠镜(于初次检查后223天,即约7.4个月进行)显示:浸润性溃疡病变仍累及胃的大小弯,同时可见瘢痕形成及中度胃部变形,但未见突发型进展的证据(图3)。

图3. 溃疡区域伴纤维状涂层和周围水肿(内镜,2025年7月)
随访(2025年7月9日)实验室结果显示持续性小细胞性贫血,炎症生物标志物(hs-CRP和白介素-6)正常,肾功能稳定,血脂谱值在年龄可接受范围内(表2)。
表2. 随访实验室检查及参考范围

小结与启示
SRCC被世界卫生组织/国际癌症研究机构(WHO/IARC)归类为低黏附性癌,其特征通常与早期腹膜播散和晚期不良预后相关,据报道其五年生存率远低于30%。在本病例中,这位94岁的患者存活超过12个月且功能状态得以维持,凸显了该疾病病程的个体间差异性。现有的随访实验室数据显示,患者无全身性炎症激活迹象,白细胞介素-6和高敏C反应蛋白水平均保持在正常参考范围内。
“放弃积极抗肿瘤治疗的决定,是患者在完全知晓其诊断、预后及所有可用治疗方案(包括相关风险和潜在获益)后独立作出的。”该病例作者表示,“截至本文稿撰写之时,患者依然健在,活动自主,常与友人社交往来,自觉身体状况良好,且偶尔在晚间饮用一小杯葡萄酒。其女儿于2025年11月11日确认,患者未见任何临床状况恶化的迹象。自组织学确诊以来,记录在案的最短随访时间已≥12个月。这表明,当强化治疗可能带来的生存获益不确定,且生活质量显著下降的风险巨大时,支持性的、非激进的姑息性治疗策略在医学上是合理的,在伦理上也是恰当的。在以价值为基础、以舒缓治疗为导向的伦理框架内,有意识地避免过度的医疗干预并非放弃治疗,而是对患者自主权和尊严的尊重。”
参考文献:Martynenko A (December 06, 2025) Quality of Life Over Quantity: Conscious Refusal of Treatment and Stable Course of Gastric Signet-Ring Cell Carcinoma in a 94-Year-Old Woman. Cureus 17(12): e98597. doi:10.7759/cureus.98597